Receive $500 worth of orthodontic care with The Platinum Smile Package! Learn more
Smile gallery
See the difference orthodontic treatment can make in a smile with our beautiful before and after photos.

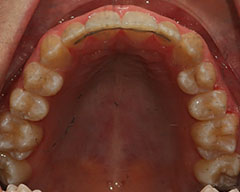
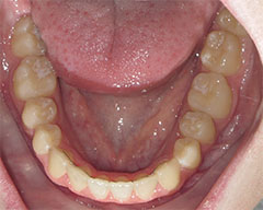
Amy
Problem:
Severe Crowding
Appliance:
Invisalign®
Treatment time:
26 months
Briah
Problem:
Excessive Spacing
Appliance:
Invisalign®
Treatment time:
6 Months
Jade
Problem:
Underbite & Missing Teeth
Appliance:
Invisalign®
Treatment time:
33 months
Peter
Problem:
Open Bite & Excessive Spacing
Appliance:
Invisalign®
Treatment time:
23 months
Kate
Problem:
Deep Bite
Appliance:
Invisalign®
Treatment time:
16 months
Tiarah
Problem:
Narrow Arch & Crowding
Appliance:
Invisalign®
Treatment time:
11 months
Tennyson
Problem:
Narrow Arch
Appliance:
Invisalign®
Treatment time:
24 months
Jasmine
Problem:
Cross Bite
Appliance:
Invisalign®
Treatment time:
7 months
Madeleine
Problem:
Severe Crowding
Appliance:
Invisalign®
Treatment time:
26 months
Madison
Problem:
Crowding & Overjet
Appliance:
Invisalign® Teen
Treatment time:
13 months
Connor
Problem:
Crowding, Narrow Arch & Deep Over Bite
Appliance:
Invisalign® First
Treatment time:
11 months
Keeva
Problem:
Crowding, Overbite & Over Erupted Teeth
Appliance:
Invisalign® First
Treatment time:
14 months
Could your smile
be next?
Book a free consultation at any of our seven locations to see how orthodontic treatment could improve your smile.

Follow Us
Keep up with our team on social media!









